Cứu sống kịp thời trường hợp vỡ ung thư gan ở bệnh nhân cao tuổi tại bệnh viện tuyến khu vực

Thứ sáu - 20/03/2026 03:20
Thông tin từ Bệnh viện Đa khoa Khu vực miền núi phía Bắc Quảng Nam cho hay, ê-kíp bác sĩ Bệnh viện này vừa xử trí thành công một trường hợp cấp cứu nặng do vỡ khối u gan trên nền bệnh lý ác tính tiến triển, bằng phương pháp can thiệp nội mạch hiện đại.
Bệnh nhân nam, 77 tuổi, tiền sử ung thư biểu mô tế bào gan trên nền bệnh gan mạn, nhập viện trong tình trạng cấp cứu với các triệu chứng điển hình của xuất huyết trong ổ bụng. Bệnh nhân đau bụng vùng hạ sườn phải và thượng vị dữ dội, đau tăng dần, lan toàn bụng, kèm theo mệt lả, chóng mặt, vã mồ hôi. Khám lâm sàng ghi nhận bệnh nhân da niêm nhợt, dấu hiệu thiếu máu cấp, huyết áp có xu hướng giảm, mạch nhanh. Bụng chướng nhẹ, ấn đau nhiều vùng gan, có phản ứng thành bụng nhẹ, gợi ý tình trạng kích thích phúc mạc.
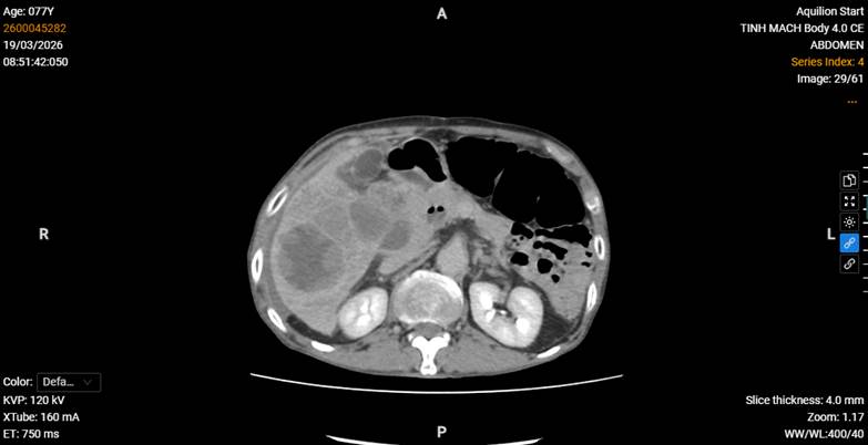
Xét nghiệm cận lâm sàng cho thấy tình trạng thiếu máu, rối loạn chức năng gan trên nền bệnh lý mạn tính. Hình ảnh chụp CT Scanner bụng có tiêm thuốc cản quang ghi nhận: gan có nhiều khối u phù hợp ung thư biểu mô tế bào gan, trong đó khối u lớn tại hạ phân thùy IV–V bị vỡ, gây chảy máu trong bao gan và một lượng dịch máu tự do trong khoang phúc mạc. Ngoài ra, phát hiện huyết khối không hoàn toàn tĩnh mạch chủ dưới và tĩnh mạch gan phải, giãn nhẹ đường mật trong gan vùng hạ phân thùy V, VI, cùng với giảm tưới máu nhu mô gan tại các phân thùy VI, VII.
CC

Ths.BSCKII. Lê Minh Dũng - PGĐ, Trưởng khoa Hồi sức tích cực – Chống độc, Bệnh viện ĐKKVMNPB Quảng Nam cho biết: “Đây là trường hợp bệnh lý nặng, tiên lượng dè dặt do nhiều yếu tố nguy cơ: tuổi cao, ung thư gan đa ổ giai đoạn tiến triển, bệnh gan nền mạn tính và biến chứng vỡ khối u gây xuất huyết. Phẫu thuật cấp cứu không khả thi do nguy cơ tử vong cao. Sau hội chẩn liên chuyên khoa, ê-kíp quyết định lựa chọn phương pháp can thiệp nội mạch – nút mạch hóa chất (TACE) nhằm cầm máu và kiểm soát khối u. Dưới hướng dẫn của hệ thống chụp mạch số hóa xóa nền (DSA), các bác sĩ tiến hành chọn lọc động mạch nuôi khối u và thực hiện nút mạch bằng vật liệu chuyên dụng kết hợp hóa chất. Kết quả can thiệp đạt hiệu quả cao, làm tắc khoảng 90% hệ thống mạch máu nuôi khối u, kiểm soát tốt tình trạng chảy máu.”
Sau can thiệp, bệnh nhân diễn biến còn nặng, tiếp tục được theo dõi sát tình trạng đau bụng, huyết động, cũng như các biến chứng có thể có.
 
 
Bệnh nhân được cứu sống kịp thời và đang phục hồi sức khỏe

Trường hợp này cho thấy vai trò quan trọng của kỹ thuật TACE trong xử trí các biến chứng cấp cứu của ung thư gan, đặc biệt ở những bệnh nhân không còn chỉ định phẫu thuật. Đồng thời, đây cũng là minh chứng cho năng lực chuyên môn và khả năng triển khai các kỹ thuật can thiệp chuyên sâu tại tuyến y tế khu vực, góp phần nâng cao hiệu quả điều trị và cứu sống người bệnh trong những tình huống nguy kịch. – Bs Dũng chia sẻ thêm./.
Hải Châu
 

Tổng số điểm của bài viết là: 0 trong 0 đánh giá

Click để đánh giá bài viết

  Ý kiến bạn đọc

Những tin mới hơn

Những tin cũ hơn

Bạn đã không sử dụng Site, Bấm vào đây để duy trì trạng thái đăng nhập. Thời gian chờ: 60 giây